Cáncer de vejiga
La vejiga es el depósito de la orina, el lugar donde se almacena. Descansa en la pelvis; en la mujer directamente en el suelo muscular pélvico y en el hombre la separa del plano muscular la presencia de la próstata. Cuando está llena de orina, toma una forma ovoide. Se continúa con la uretra. En su interior encontramos los orificios ureterales, por donde drena la orina que procede de los uréteres. La vejiga de la orina está rodeada de un músculo llamado detrusor, que es el responsable de la contracción de esta para evacuar la orina cuando tenemos deseos de orinar.

La vejiga puede ser asiento de múltiples enfermedades, entre las más frecuentes: tumores, litiasis, infecciones y malformaciones.
Tumores de vejiga
El cáncer de vejiga ocupa el segundo lugar en frecuencia de toda la patología uro-oncológica, detrás del cáncer de próstata. Es la undécima neoplasia más frecuente, representando el 3-4 %.
El 70 % de los tumores vesicales ocurre en los varones y un 30 % en mujeres. La edad media de aparición está entre los 60-70 años.
Al diagnóstico, aproximadamente el 85 % se localiza en la vejiga y un 15% aparecen ya en estadíos más avanzados (ganglios, vísceras, huesos).
El tumor de vejiga constituye una patología urológica con alto potencial maligno, representando un reto terapéutico y diagnóstico en nuestra actividad asistencial, ya que se tiende a realizar tratamientos cada vez menos invasivos en casos seleccionados, evitando así las consecuencias físicas y psicológicas derivadas de una cirugía radical.

¿Por qué aparece el cáncer de vejiga?
Se han descrito múltiples factores relacionados con la aparición del cáncer de vejiga, entre los cuales figuran la exposición a determinados productos industriales, fármacos, café, tabaco, irritación crónica de la vejiga y determinadas infecciones:
- Productos industriales: benzidina, auraminas, hidrocarburos.
- Fármacos: fenacetina, cloranfenicol, ciclofosfamida.
- Radioterapia pélvica.
- Irritación vesical crónica: sonda vesical, litiasis, extrofia vesical.
- Infección Schistosoma. Haematobium.
- Tabaco.
De estos, el consumo de tabaco ha sido el más estudiado y podemos afirmar que los fumadores de cigarrillos tienen el doble de riesgo de desarrollar un cáncer vesical que los no fumadores; además, este riesgo aumenta aún más proporcionalmente a la cantidad que se fuma.
¿Qué tipos de cáncer de vejiga existen?
BENIGNOS
- Papiloma
- Papiloma invertido
- Adenoma velloso
MALIGNOS
- Carcinoma de células transicionales
- CIS
- Carcinoma de células escamosas
- Adenocarcinoma
- Carcinoma sarcomatoide
Más del 90 % de los tumores de la vejiga son malignos, y dentro de éstos, el más frecuente es el carcinoma de células transicionales (95%).
El resto constituye una patología tumoral rara y su pronóstico es infausto.
¿Qué es el carcinoma in situ?
El carcinoma in situ (CIS) consiste en una alteración neoplásica grave del epitelio de la vejiga. No forma papilas ni lesiones exofíticas, son lesiones planas. Pueden aparecer solas o junto con otras lesiones papilares. Su pronóstico es grave, evolucionando muchos de ellos hacia una forma invasiva.
¿Cómo clasificamos a los tumores de vejiga?
Los tumores de vejiga se clasifican de acuerdo al estadío patológico y grado de diferenciación celular. Los sistemas de clasificación mas utilizados son los de Jewett y el de la Unión Internacional contra el Cáncer (UICC).
De una forma sencilla, podemos decir, que los tumores de vejiga pueden ser superficiales o infiltrantes. Los primeros se encuentran confinados a la mucosa y/o submucosa de la vejiga, y los infiltrantes se extienden al músculo de la vejiga. Esta diferenciación es muy útil a la hora de seleccionar el tratamiento adecuado, y su pronóstico igualmente varía dependiendo del grado de penetración.
El grado de diferenciación celular (G1, G2 y G3) se correlaciona con el pronóstico y con la posibilidad de recaída y/o progresión tumoral. Igualmente, el grado histológico nos obliga a realizar un tratamiento u otro.
¿Qué síntomas produce un cáncer vesical?
- Hematuria. Es la presencia de sangre en la orina. En el caso del cáncer vesical suele ser macroscópica, total, con coágulos y sin síntomas asociados.
- Síndrome miccional. Polaquiuria, urgencia, escozor al orinar (25%).
- Otros. Otros síntomas son los derivados de la progresión del tumor, como dolor abdominal y/o lumbar, astenia, anorexia o perdida de peso.
¿Cómo diagnosticamos un tumor de vejiga?
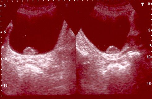
Es importante el diagnóstico precoz o la detección temprana del cáncer en sus etapas iniciales, con el objetivo de asegurar la curación tras un tratamiento radical. En este sentido, nuestro equipo aconseja la realización de una ecografía abdominal tanto a los hombres como a las mujeres aunque no tengan síntomas, con la finalidad de optimizar al máximo la visita médica. En nuestra unidad disponemos de un ecógrafo, con lo que el paciente se va a casa con el diagnóstico y nuestra impresión en el momento.
- El diagnóstico lo iniciaremos con una exhaustiva historia clínica, exploración física completa, analítica de sangre y orina (detección de sangre oculta en el sedimento de la orina).
- Citología de orina. Consiste en la búsqueda de células tumorales en la orina del paciente. En nuestra unidad pedimos tres muestras de orina, la segunda micción de la mañana de tres días consecutivos a fin de optimizar el diagnostico. No todos los tumores vesicales tienen una citología sospechosa o positiva. La citología tiene un valor diagnostico, pronostico y de seguimiento.
- Test NMP 22. Es un test rápido que realizamos en la unidad en el mismo momento y con un poco de orina nos puede poner en la pista de una forma rápida de sospecha de neoplasia de vejiga. El resultado está disponible en 5 minutos.
- Ecografía. Es imprescindible su realización en el estudio inicial de una hematuria. Permite valorar eficazmente la cavidad vesical y el resto del abdomen en busca de complicaciones derivadas del tumor y enfermedad metastásica. Detecta con precisión el 95% de los tumores vesicales mayores de 1.5 cm, y un 40% de los más pequeños. En nuestra Unidad de Urología disponemos de ésta ventaja, a fin de realizar un diagnóstico lo más precoz posible.

- Urografía intravenosa. Mediante la inyección intravenosa de un contraste nos permite visualizar todo el aparato urinario (riñón, uréter, vejiga y uretra) y si existe alguna anomalía en el mismo. Solo detecta el 50% de los tumores de vejiga, si bien, su realización nos permite valorar el uso de otras exploraciones complementarias.

- TAC y RM. Reservamos su uso al estudio de extensión de pacientes que presentan un tumor vesical infiltrante confirmado histológicamente.
- Cistoscopia. Consiste en la visualización directa de la cavidad vesical con un cistoscopio. Esta exploración la reservamos para aquellos casos con dudas diagnósticas y para el seguimiento de pacientes operados.

¿Cómo tratamos los tumores de vejiga?
El objetivo principal del tratamiento del cáncer de vejiga es la erradicación total del tumor manteniendo unos criterios oncológicos.
La extirpación endoscópica del tumor es la norma, y en nuestra unidad realizamos tratamientos radicales por vía endoscópica con unos resultados terapéuticos excelentes.
Es fundamental realizar una evaluación histológica minuciosa del tumor mediante una resección transuretral, a fin de poder clasificar la neoplasia y poder establecer una planificación terapéutica de acuerdo al estadío y grado de diferenciación celular.
1) Tumores vesicales superficiales (80% de los casos)
Realizamos RTU de toda la lesión, bien sea con técnica Plasmakinetic o mediante resección en "bloc" (quitar todo el tumor en bloque, no a trozos) mediante láser.

2) Tumores Vesicales Infiltrantes
- Terapia de conservación vesical. Consiste en intentar conservar la vejiga de acuerdo a un complejo protocolo que incluye resecciones del tumor + quimioterapia + radioterapia. No todos los pacientes son aptos para este tipo de tratamiento. Consulta con nuestro grupo de expertos en Oncología y te asesoraremos.
- Cistectomía radical abierta. Consiste en la extirpación de los ganglios linfáticos regionales, la vejiga y la próstata en el caso del varón, y del útero y anejos en la mujer. Posteriormente haremos una reconstrucción del tracto urinario con derivación del uréter a un estoma cutáneo (Bricker) o una derivación continente mediante la creación de una vejiga nueva con intestino.
- Cistectomía radical laparoscópica Extirpación de la vejiga urinaria en pacientes con cáncer de vejiga y reconstrucción de la vía urinaria, utilizando una pieza de intestino para crear un conducto a la piel del abdomen (conducto ileal-derivación incontinente) o una nueva vejiga conectada a la piel del abdomen (continente o no) o a la uretra (derivación ortotópica continente).
- Cistectomía parcial. Es una alternativa para tumores infiltrantes, únicos, pequeños, localizados en pared lateral o cúpula, sin "Cis" asociado. Asociaremos radioterapia posterior.
3) Tumores vesicales diseminados (metástasis)
Ante la presencia de enfermedad metastásica a distancia solo podremos tratar mediante poliquimioterapia. Con el protocolo MVAC se consiguen un 30-40% de respuestas completas, aunque sólo perduran en el tiempo un tercio de los casos.
4) Carcinoma in situ
De difícil diagnostico y tratamiento, ya que son tumores que no se ven, precisando una biopsia vesical. El tratamiento de elección es la terapia intravesical con BCG, y en ausencia de respuesta y ante el riesgo de convertirse en cáncer invasor, cistectomía adical.
¿Cuál es el pronóstico de los tumores vesicales?
El pronóstico de los tumores vesicales depende fundamentalmente del estadío y grado histológico. La historia natural de los tumores vesicales, atiende a la recidiva (volver a reproducirse después de la cirugía), la progresión (aumentar de estadío con la aparición de un nuevo tumor) o la muerte.
Los tumores vesicales superficiales tienen un pronóstico excelente pero un gran número de pacientes va a experimentar la aparición de recidivas a lo largo de su enfermedad (50-75%), la aparición de recidivas disminuye si el tumor ha sido extirpado por cirujanos experimentados; por el contrario, la probabilidad de progresión y muerte en estos casos es muy baja.
El pronostico de los tumores vesicales infiltrantes va a depender del estadío (T3-T4) y de su asociación a los ganglios linfáticos. En estos casos la supervivencia se estima en unos 6 meses, al igual que en la enfermedad metastásica.
¿Cual es el seguimiento que hacemos de estos pacientes en nuestra unidad?
Somos conscientes del alto potencial maligno de estas neoplasias, así como de su elevada tendencia a la recidiva y progresión. Es por ello, que estos pacientes precisan de un seguimiento estrecho en nuestra consulta. En cada visita, que en principio ha de ser trimestral, realizaremos una entrevista clínica, exploración física, ecografía, con la posibilidad de realizarla al momento en la unidad, y una determinación de sangre y orina. En algunos casos, será preciso realizar una urografía-TAC, así como una cistoscopia. El objetivo de este estrecho seguimiento es adelantarse precozmente a la recidiva tumoral y realizar un tratamiento rápido si precisa.
